
目次
1. 序文:なぜ矯正治療中に「フッ化物」が不可欠なのか
矯正治療の目的は、単に歯並びを美しく整えることだけではありません。最終的なゴールは、整った歯並びによって「一生自分の歯で健康に美味しく食事ができる基盤」を作ることです。しかし、皮肉なことに、その過程である矯正治療期間中は、虫歯のリスクが高まる時期です。

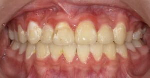
矯正治療中に虫歯になってしまった状態
歯面にブラケットやワイヤーが装着されるワイヤー矯正はもちろん、取り外し可能なマウスピース矯正であっても、装置がお口の中にあることで唾液による自浄作用(自身の唾液で洗い流す作用)が妨げられ、細菌の温床となるプラーク(歯垢)が蓄積しやすくなります。せっかく数年の歳月をかけて歯並びを綺麗にしても、装置を外した時に歯の表面が白濁(脱灰)していたり、治療が必要な虫歯が多発していたりしては、真の成功とは言えません。
そこで、当院が最も重視しているのが、「フッ化物」による予防アプローチです。従来のブラッシング指導だけでなく、フッ化物の性質を正しく理解し、科学的根拠に基づいた複数の手法を組み合わせることで、矯正治療中の虫歯リスクを最小限に抑えることが可能になります。本コラムでは、当院が推奨する具体的な製品や、その医学的背景について徹底的に解説します。
2. 虫歯予防の根幹:プラークコントロールの3つの概念
歯科医院でよく耳にする「プラークコントロール」という言葉。多くの患者様は「しっかり歯を磨くこと」だと思われていますが、実はそれだけではありません。特に矯正治療中は、物理的な除去が困難な部位が必ず生じるため、以下の3つの概念を多角的に組み合わせることが重要です。
① 形成抑制
プラークコントロールの第一段階は、プラークを「作らせない、あるいは付着させにくい環境」を作ることです。 お口の中では、食事のたびに歯の表面からミネラルが溶け出す「脱灰(だっかい)」と、唾液によってミネラルが戻る「再石灰化」が繰り返されています。フッ化物を日常的に活用すると、歯の表面が「フルオロアパタイト」という非常に安定した構造に強化されます。これにより、細菌が排出する酸に対して抵抗力がつき、そもそもプラークが歯を溶かすきっかけを未然に防ぐことができるのです。
② 除去
これは最も一般的な「物理的清掃」です。歯ブラシ、タフトブラシ、歯間ブラシなどを用いて、付着したプラークを物理的に剥がし取ります。 しかし、矯正装置の複雑な構造の中では、どんなに熟練した方でも100%の除去は不可能です。当院では、この「物理的な限界」を認めた上で、残ってしまったプラークに対してどうアプローチするかを次の一手として考えます。
③ 病原性コントロール
これがフッ化物活用の真骨頂です。たとえお口の中にプラークが残ってしまっても、そのプラークの中に潜む細菌(ミュータンス菌など)の「病原性」を弱めてしまおうという考え方です。 フッ化物には、細菌の代謝系を阻害する働きがあります。具体的には、細菌が糖を取り込んで「酸」を作る際に必要な酵素の働きをブロックします。フッ化物を適切に使用しているお口の中では、細菌が元気をなくし、歯を溶かすための強い酸を作れなくなります。つまり、「プラークは存在しているが、虫歯を作る力がない状態」へとコントロールしていくのです。

3. フッ化物の科学:なぜ歯は強くなるのか?
フッ化物が虫歯予防に効果的であることは広く知られていますが、その医学的・化学的なメカニズムを正しく理解することは、毎日のケアのモチベーション維持に繋がります。フッ化物の作用は、主に以下の3つの柱で成り立っています。
■ 再石灰化の促進
お口の中では、飲食のたびに「脱灰(酸によって歯のミネラル成分が溶けだすこと)」と「再石灰化(唾液によってミネラルが戻ること)」が攻防を繰り広げています。矯正装置の周りはプラークが滞留しやすいため、このバランスが「脱灰」に大きく傾きがちです。 フッ化物は、唾液中に含まれるカルシウムやリンといったミネラルを、効率よく歯の表面に引き戻す役割を果たし、再石灰を促します。特に、初期虫歯(ホワイトスポット)と呼ばれる、穴が開く一歩手前の白濁した状態においては、フッ化物の適切な供給によって修復が期待できるのです。
■ 歯質の強化:フルオロアパタイトの形成
歯の最も外側を覆うエナメル質は、元々「ハイドロキシアパタイト」という結晶でできています。これは非常に硬い組織ですが、酸に弱いという弱点があります。 フッ化物が歯の表面に作用すると、ハイドロキシアパタイトの構造の一部がフッ素と置き換わり、「フルオロアパタイト」というさらに安定した結晶に変化します。この結晶は酸に強いため、虫歯菌が酸を出しても溶けにくい「鉄壁の鎧」のような歯質になるのです。
■細菌へのアプローチ
フッ化物は歯を強くするだけでなく、敵である細菌そのものにも作用します。虫歯菌は、私たちが摂取した糖分を取り込み、自分のエネルギーにする過程で「酸」を排出します。フッ化物は、このエネルギー代謝に必要な酵素の働きを阻害します。 つまり、フッ化物が十分にある環境下では、細菌は栄養を摂取しても効率よく酸を作ることができず、活動性が低下します。これが前述した「病原性のコントロール」の正体です。
4. 【実践編①】1450ppm高濃度歯磨剤の効果的な使い方
当院では、矯正治療中の全ての患者様(6歳以上)に対し、国内最大濃度である1450ppmのフッ化物配合歯磨剤の使用を強く推奨し、院内での販売も行っております。なぜ「高濃度」である必要があるのでしょうか。

当院で取り扱ってるフッ化物配合歯磨き粉
なぜ「1450ppm」が選ばれるのか
以前は国内の歯磨剤のフッ素濃度上限は1000ppmでしたが、国際的な基準(ISO規格)に合わせ、現在は1500ppmを上限とする高濃度製品が認められています。フッ化物濃度が高いと虫歯予防効果は向上するとされています。矯正治療期間中という虫歯リスクが極めて高い環境においては、このわずかな差が、治療数年後の歯の健康状態を大きく左右します。
当院が推奨する「使用量」の基準
当院の矯正治療は、混合歯列期(乳歯と永久歯が混ざった時期)から成人まで幅広い年齢層が対象ですが、基本的に6歳以上の患者様には「成人と同濃度、同量」での使用を指導しています。使用量の目安: 歯ブラシの毛先全体にしっかりのせるくらい(約1.5cm〜2cm)。
ポイント: 「少しずつ使う」のではなく、お口の中にフッ素の成分を充満させるイメージで、たっぷりと使用してください。

効果を最大限に引き出すために
フッ化物の効果を最大化するブラッシング法を参考に、以下のポイントを守ってください。
-
歯磨剤を歯ブラシ全体にのせる。
-
お口全体に広げるように磨く。
-
うがいは、少量の水で1回だけ。
その後1〜2時間は飲食を控える(理想はそのまま就寝)。 何度も水ですすいでしまうと、せっかくのフッ素が全て流れてしまい、予防効果が低下してしまいます。最初は少し違和感があるかもしれませんが、この「成分を残す」感覚が非常に重要です。
5. 【実践編②】フッ化物洗口液の併用メリット
歯磨剤によるケアに加えて、当院が絶対の自信を持って推奨するのが、フッ化物洗口液を用いた「フッ化物洗口」の習慣です。
矯正装置の「死角」をカバーする液体の力
ワイヤー矯正の場合、ブラケットの周囲やワイヤーの下側、さらに隣接面(歯と歯の間)には、どうしても歯ブラシの毛先が物理的に届きません。 洗口液は液体であるため、これらの「物理的な死角」にまでくまなくフッ化物の成分を運び込むことができます。歯磨きによってプラークを落とした直後に洗口を行うことで、露出した歯面にダイレクトにフッ化物を作用させることが可能になります。
当院で使用しているフッ化物洗口液「ビーブランド」について
市販の洗口液の中には、アルコール成分が強く刺激が強いものや、フッ素濃度が低いものも散見されます。当院で取り扱っている「ビーブランド」は、以下の点で矯正治療に適しています。
-
適切な濃度管理: 毎日使用するのに適した濃度(約250ppm〜450ppm程度に調整)であり、安全性が高い。
-
低刺激: 矯正装置でお口の粘膜がデリケートになっている時期でも使いやすい。
-
継続のしやすさ: 味がマイルドで、お子様から成人まで無理なく習慣化できる。

最も効果的なタイミング:就寝前のルーティン
フッ化物洗口は、「夜寝る前」に行うのが最も効果的です。 睡眠中は唾液の分泌量が極端に減り、お口の中の自浄作用がほとんど機能しません。つまり、寝ている間が最も虫歯菌の活動が活発になる時間帯なのです。寝る直前に洗口することで、フッ化物を長時間お口の中に留まらせ、「夜間のガード」を強固にすることができます。
6. 相乗効果の理論:複数のフッ化物応用を組み合わせる重要性
「高濃度の歯磨剤を使っていれば、洗口液はいらないのではないか?」という疑問を持つ方もいらっしゃるでしょう。しかし、矯正治療中という特殊な環境下においては、「異なる濃度」と「異なる作用時間」を持つ方法を組み合わせることが、科学的に最も効果が高いとされています。
「点」ではなく「線」で守る
高濃度歯磨剤(1450ppm)は、ブラッシング時に歯面に高い濃度のフッ素を届け、歯質の強化と再石灰化を一気に強力に進める「点」のケアです。 一方、フッ化物洗口液(ビーブランド)は、低濃度ながらもお口の隅々まで行き渡り、唾液中のフッ素濃度を長時間一定以上に保つ「線」のケアです。
この二つを併用することで、お口の中は常に「虫歯菌が酸を作りにくく、かつ歯が溶けてもすぐに修復される」という、鉄壁の環境になります。特にワイヤー矯正では、装置の複雑な段差にプラークが残りがちですが、洗口液による「病原性コントロール」が加わることで、物理的に磨き残した場所の虫歯リスクを劇的に下げることができるのです。
7. プロケアとホームケアの連携:かかりつけ歯科医院との付き合い方
当院は、矯正治療を専門に行うクリニックです。そのため、予防プログラムにおいても、地域のかかりつけ歯科医院(一般歯科)との連携を非常に大切にしています。
高濃度フッ化物塗布の「バッティング」を避ける
歯科医院で受ける「フッ化物塗布」は、約9000ppmという極めて高い濃度の薬剤を使用します。これは数ヶ月に一度行うことで、歯の耐酸性を飛躍的に高める「プロケア」です。 当院でも塗布は可能ですが、患者様がかかりつけの歯科医院で定期検診を受けている場合、短期間に何度も高濃度塗布を行うことは、効果の面でも安全性の面でも必ずしも推奨されません。
理想的な役割分担
-
当院(矯正歯科): 矯正装置の調整、装置周りの専門的なクリーニング、日々のセルフケア(歯磨剤・洗口液)の指導・提供。
-
かかりつけ医(一般歯科): 虫歯の有無のチェック、歯石の除去、数ヶ月に一度の高濃度フッ化物塗布。
このように役割を分担することで、矯正治療中も「虫歯」と「歯周病」の両面から隙のない管理が可能になります。当院は、かかりつけ医とのバッティングを避け、患者様が最も効率的で安全な予防処置を受けられるよう配慮しています。
8. フッ化物の安全性に関する正しい知識
「フッ素は体に悪いという噂を聞いたけれど大丈夫?」という不安を抱える方も稀にいらっしゃいます。しかし、結論から言えば、フッ化物は適切に使用する限り、全身の健康に悪影響を及ぼすことはありません。
適切な使用量と「毒性」の誤解
どんな物質でも(例えば塩やビタミンであっても)、一度に大量に摂取すれば毒性が出ます。フッ化物において、急性中毒(吐き気など)が起こる量は、体重30kgの子供が1450ppmの歯磨剤を丸ごと2本以上飲み込んだ場合など、通常の使用ではまずあり得ないケースです。今回のコラムでご紹介したフッ化物の局所応用の併用では安全性は全く問題がありません。
歯のフッ素症について
永久歯の形が作られる乳幼児期(特に6歳未満)に、フッ化物を継続的に過剰摂取すると、歯に白い斑点が出る「歯のフッ素症」のリスクがあります。 しかし、当院が対象とする6歳以降の患者様は、既に永久歯の頭(歯冠)が完成しているため、歯磨剤や洗口液の使用によってフッ素症になる心配はありません。世界保健機関(WHO)や日本の厚生労働省も、フッ化物の有効性と安全性を認め、広く普及を推進しています。
ここからは、具体的な治療スタイルに合わせたアドバイスと、患者様の不安を解消するためのQ&Aセクションを執筆し、コラムを完結へと導きます。
9. 矯正治療のタイプ別・フッ化物活用のポイント
矯正治療の方法によって、プラークが溜まりやすい場所やリスクの性質は異なります。それぞれの特徴に合わせたフッ化物の活用法を知っておきましょう。
ワイヤー矯正(表側・裏側)の場合
ブラケットとワイヤーが固定されているため、最も物理的な清掃が困難なタイプです。
-
リスク部位: ブラケットの周囲、ワイヤーと歯の間、および歯肉に近い部分。
-
活用のコツ: 歯磨剤をたっぷり使い、装置の隙間に泡を送り込むように磨きます。その後、ビーブランドでの洗口を併用することで、ブラシの毛先が届かなかった「装置の裏側」の細菌を化学的に制圧します。ワイヤーのような固定式装置の場合は、液体の洗口液による広範囲のカバーが非常に有効です。
マウスピース型矯正装置の場合
「外して磨けるから安心」と思われがちですが、実は特有のリスクがあります。
-
リスク部位: マウスピースと歯が密着する面全体。
-
活用のコツ: マウスピースを装着すると、唾液が歯面に触れなくなり、唾液本来の「再石灰化能」や「自浄作用」がシャットアウトされてしまいます。
-
重要ポイント: 装着前に1450ppmの歯磨剤で磨き、さらに就寝前はフッ化物洗口液で洗口してから装着してください。
10. 【Q&A】矯正中のフッ化物利用に関するよくある質問
患者様からよく寄せられる質問を、専門的な視点でまとめました。
Q1. 1450ppmの歯磨剤は、ドラッグストアで売っているものと院内販売品で何が違いますか?
A1. 基本的なフッ素濃度は同じですが、院内で取り扱う製品(チェックアップなど)は「低発泡・低香味」に設計されています。泡立ちすぎないため、矯正装置の周りをじっくり時間をかけて磨くのに適しており、かつ、すすぎが1回で済むように作られています。
Q2. ビーブランド洗口液を使い始めてから、歯が黒ずむことはありますか?
A2. フッ化物そのものに歯を黒くする作用はありません。もし着色が気になる場合は、お茶やコーヒーによるステインが、装置周りの磨き残したプラークに付着している可能性があります。
Q3. 外出先で歯磨きができない時、洗口液だけでも効果はありますか?
A3. はい、何もしないよりは遥かに効果的です。物理的に汚れを落とすのが理想ですが、どうしても時間が取れない時はビーブランドでゆすぐだけでも、細菌の活動(酸の産生)を抑制する効果が期待できます。
Q4. フッ化物洗口は、何歳から始めるのがベストですか?
A4. 「ぶくぶくうがい」が正確に吐き出せるようになる4歳頃から可能ですが、当院の矯正治療を受けているお子様(6歳前後〜)であれば、永久歯を守るためにすぐに開始することをお勧めしています。
Q5. 市販の「フッ素配合」と書かれた安価な歯磨剤ではダメですか?
A5. ダメではありませんが、濃度が重要です。市販品には500ppmや950ppmのものも混在しています。矯正中はリスクが格段に高いため、必ず「1450ppm」と明記された高濃度タイプを選んでください。
Q6. 妊娠中に矯正治療をしていますが、フッ化物を使用してもお腹の赤ちゃんに影響はありませんか?
A6. 全く問題ありません。フッ化物の局所応用(塗る・ゆすぐ)による摂取量は極めて微量であり、胎児への影響はないことが科学的に証明されています。むしろ、妊娠中は唾液の性質が変わり虫歯になりやすいため、積極的な活用が推奨されます。
まとめ:一生モノの歯を守るために
矯正治療の数年間は、長い人生において「最も歯を磨きにくい時期」かもしれませんが、同時に「最もお口の健康意識を高められる時期」でもあります。
当院では、あなたの「虫歯ゼロでの矯正ゴール」を全力でサポートします。フッ化物を味方につけて、自信の持てる美しい笑顔を手に入れましょう。
ケアの方法に不安がある時や、装置が当たって磨きにくい時は、いつでもお気軽にスタッフへお声がけください。
皆さまのご来院を、心よりお待ちしております。
柏市の矯正歯科なら柏の葉キャンパス矯正歯科へ




