
目次
「マウスピース型矯正装置を希望しているが、抜歯が必要と言われた」「抜歯矯正はワイヤーでないとダメなのか」——こうしたご質問をよくいただきます。
マウスピース型矯正装置は審美性や取り外しのしやすさから年々人気が高まっていますが、抜歯を伴う症例への対応については、まだ多くの疑問や誤解があります。この記事では、研究データをもとに「マウスピース型矯正装置で抜歯矯正はどこまで対応できるのか」を詳しく解説し、最後に当院の症例もご紹介します。
⚠️ 【費用について】矯正歯科治療は公的健康保険の対象外の自由(自費)診療となりますので、ご留意ください。
マウスピース型矯正装置とワイヤー矯正装置の違い
マウスピース型矯正装置とワイヤー矯正装置の基本的な違い
まず、2つの装置の仕組みを整理しておきましょう。
ワイヤー矯正装置(固定式)は、歯の表面にブラケットと呼ばれる小さな装置を接着し、そこにワイヤーを通して継続的に力をかける方法です。自分では外せず、24時間力がかかり続けます。歴史が長く、さまざまな方向への歯の移動を精密にコントロールする技術が確立されています。
マウスピース型矯正装置は、透明なプラスチック製の装置を歯にはめて歯を動かす方法です。取り外しができるため食事や歯磨きがしやすく、装置が目立ちにくいのが特徴です。1日20時間以上の装着が推奨されており、段階的に新しい装置に交換しながら歯を動かしていきます。
どちらの装置も、軽度から中等度の歯並びのガタつき(叢生)であれば、最終的な仕上がりの総合評価はほぼ同等とする報告が多くあります(Rossini et al., 2015; Ke et al., 2019)。しかし、個々の歯の動く方向・コントロール性・予測のしやすさには明確な差があります。
特に注目したいのが、マウスピース型矯正装置の平均的な移動精度は約40〜56%にとどまるという報告です(Rossini et al., 2015; Kravitz et al., 2009)。これは、計画した移動量の半分程度しか実際に動かせないケースがあることを意味します。そのため、計画通りの歯の動きを得るには「オーバーコレクション(想定より多めに動かす設計)」や、途中で装置を作り直す「リファインメント」が前提になりやすいことが示されています。
それぞれの動きの違い
歯の動き方を方向別に比較する
歯の動きには大きく「前後の移動・歯を回転する移動(ねじれをとる)・歯根の方向の調整(トルク)」と「垂直方向の移動」があります。抜歯矯正ではこれらの移動が複雑に求められることが多く、それぞれでマウスピース型矯正装置とワイヤー矯正装置の得意・不得意が異なります。
前後方向・回転・根の方向(トルク)
前歯や犬歯を回転させたり、歯根の向きを変えるトルクコントロールは、ワイヤー矯正装置が明確に優れています。マウスピース型矯正装置では「tipping(歯の頭だけが倒れる動き)」になりやすく、歯根全体を平行に動かすことが難しいとされています(Rossini et al., 2015; Gonçalves et al., 2023)。
抜歯したスペースを閉じる治療でも違いが顕著です。ワイヤー矯正装置は「bodily movement(歯全体を平行に動かす)」に近い動きができるのに対し、マウスピース型矯正装置では前歯が舌側(内側)に倒れやすく、根の平行性も保ちにくいことが複数の研究で報告されています(Arqub et al., 2025; Ke et al., 2019)。
一方、水平方向の歯体移動については、マウスピース型矯正装置でも40〜80%程度の精度が得られるとされており、軽度症例での前後的な移動はある程度対応できます(Gonçalves et al., 2023; Kravitz et al., 2009)。
垂直方向(上下の動き)
垂直方向の移動は、どちらの装置でも結果がばらつきやすい動きです。中でもマウスピース型矯正装置は特に不正確とされています。
圧下(歯を沈める動き)の移動精度は0〜40%台にとどまるという報告があり(Gonçalves et al., 2023; Karkow, 2020)、挙上(歯を引き出す動き)も全般的に難しい動きとされています(Rossini et al., 2015; Sachdev et al., 2021)。「予測よりも実際の移動量が少なくなりがち」という傾向は垂直方向に特に強く、ワイヤー矯正装置の方がより確実にコントロールできます。
縦方向の移動「圧下・挺出」とは何か
矯正治療では、歯を縦方向に動かすことが必要になる場面があります。抜歯矯正においても、前歯の高さを揃えたり咬合平面を整えるために圧下・挙上が必要になることがあります。
「圧下」とは、歯を歯ぐきの方向へ押し込む動きです。深い噛み合わせ(ディープバイト)や、笑ったときに歯ぐきが多く見えるガミースマイルの改善に使われます。
「挺出」とは、歯を口の外に引き出して長く見せる動きです。前歯が噛み合わない「開咬」の治療や、虫歯や歯の破折で歯ぐきの下まで欠けた歯の土台確保にも使われます。
同じ縦方向の移動でも、生体への影響は大きく異なります。圧下は挺出と比べて約4倍根尖部の吸収が起こりやすいという報告があり、特に軽い力と慎重な管理が求められます(Antonarakis et al., 2024)。歯周病で骨が減っている方の場合、炎症が残っていると圧下によって骨吸収が早まるリスクもあります。一方、挙上は骨破壊のリスクが比較的少ないとされています(Antonarakis et al., 2024)。
マウスピース型矯正装置はこれらの縦方向の移動が特に苦手です。前歯の圧下はある程度対応できるとされていますが精度は低く、挙上はさらに難しい動きです。咬合の垂直的なコントロールが重要な抜歯症例では、ワイヤー矯正装置の方がより確実な結果が期待できます。

アンカレッジコントロール:抜歯矯正で最も重要なポイント
抜歯矯正において、マウスピース型矯正装置とワイヤー矯正装置の差が最も大きく出るのが「アンカレッジ(固定源)のコントロール」です。
アンカレッジとは
歯を動かすには力が必要ですが、歯の移動は物理学の法則にしたがいます。「動かしたい歯を動かしたとき」に、その反作用として「動かしたくない歯まで動いてしまう」ことがあります。前歯を後ろに動かそうとすると、その反作用で奥歯が前方にズレてしまう——これを「アンカレッジロス(固定源の喪失)」と呼びます。抜歯矯正では大きな移動を伴うため、このアンカレッジ管理が治療の仕上がりに直結します。

マウスピース型矯正装置でアンカレッジロスが起こりやすい理由
マウスピース型矯正装置はアンカレッジロスが起こりやすいことが一貫して報告されています(Xia et al., 2024; Zhu et al., 2023; Arqub et al., 2025)。その主な理由は、マウスピース型矯正装置が歯の頭(歯冠)しか覆わない構造上、根をコントロールするための「カウンターモーメント(逆向きの力)」が小さいためです。その結果、奥歯が前方に傾きやすくなります(Xia et al., 2024; Liu et al., 2022)。
抜歯症例では具体的に以下の問題が報告されています。
- 前歯を後ろに下げる時:奥歯が前方に傾き、前歯は舌側に倒れやすい
- 抜歯症例全体:前歯の後退量が不足する。歯根の平行性の不良が起こりやすい(Arqub et al., 2025)
ワイヤー矯正装置では、ワイヤーを屈曲したり歯科矯正用アンカースクリューを組み合わせることで、こうしたアンカレッジロスをより確実に管理できます。
マウスピース型矯正装置でアンカレッジを補強する方法
アンカレッジロスのリスクがあるからといって、マウスピース型矯正装置が抜歯症例に対応できないわけではありません。以下の方法を組み合わせることで、アンカレッジロスを軽減することができます。
歯科矯正用アンカースクリューの併用は最も有効な対策です。顎の骨に小さなネジを固定源として入れることで、奥歯の前方への移動を抑え、前歯の後退量のコントロールがある程度改善できます(Zhu et al., 2023; Liu et al., 2022; Guo et al., 2024)。
アンカレッジプレパレーション(準備固定)は、あらかじめ奥歯を後傾させる設計を組み込む方法です。奥歯が前に傾いてしまう動きに対し、最初に逆の傾斜の動きを設計することで、反作用に対抗するための余裕を作ります。(Qiang et al., 2024; Jin et al., 2024)。
オーバーコレクション設計は、計画よりも多めに動かす設計で移動不足を補う方法です。マウスピース型矯正装置では移動精度が100%にならないため、これらの工夫が前提となることが多いです(Zhu et al., 2023; Arqub et al., 2025)。
これらを組み合わせることでマウスピース型矯正装置でも一定のアンカレッジ管理は可能ですが、それでも固定式ワイヤー矯正装置と同等のアンカレッジ維持は難しいとされています(Ke et al., 2019)。抜歯症例においてマウスピース型矯正装置を選択する場合は、担当医との綿密な治療計画と、リファインメントを視野に入れた長期的な取り組みが必要です。
それでは、マウスピース型矯正装置では抜歯矯正治療は困難なのでしょうか?そんなことはありません。
逆説的にいうと、上記のマウスピース型矯正装置の苦手な移動を熟知した上で、設計に工夫を加えることでワイヤー矯正治療と同等の治療成果を上げることができる症例があります。ただしここで強調をしたいのが「ワイヤー矯正治療と同等の治療成果を上げることができる症例がある」ということです。逆に「ワイヤー矯正治療と同等の治療成果を上げることができない症例」もありますので、そのような症例の場合は当院ではワイヤー矯正治療をおすすめしております。
当院の症例報告
当院におけるマウスピース型矯正装置の抜歯矯正治療の症例
ここでは、マウスピース型矯正装置による抜歯症例をご紹介します。当院は開業して間もないため、まだ当院で治療を開始し、完了している症例はございません。本症例は外勤先で担当をさせていただいた患者様の症例をご本人と外勤先の病院の許可をいただき掲載させていただいております。
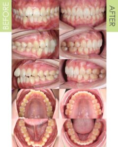
症例 歯のガタツキとE-lineの改善を希望した症例
- 患者情報 :茨城県つくば市在住 20代女性
- 主訴・診断:歯のガタツキ(叢生)と口ゴボ
- 治療方針:上の左右の4番目の歯(第一小臼歯)と、下の左右の5番目の歯(第二小臼歯)を抜歯
- 使用装置・補助装置:マウスピース型矯正装置と顎間ゴム
- 治療期間:動的治療期間:1年11ヵ月
当院のInstagramに掲載しています。

本症例のポイント:
こちらの症例は一般的に難しいとされるマウスピース型矯正治療の抜歯症例になります。マウスピース型矯正装置の動きの特性から、歯の平行移動と奥歯の固定がそこまで必要とされず、顎間ゴムという補助的な装置によって固定がコントロールできると判断しました。がたつきを改善するだけであれば歯を抜かずに治療を行うことも可能ですが、本症例の様に横顔の印象も改善したいという症例に対してはやはり抜歯が必要となります。 【当院における治療費用】
精密検査料 49500円
基本料金 990,000円
再診料 5500円×10回
※基本料金と再診料の合計 1,094,500円
※いずれも(税込)
矯正歯科治療は、公的健康保険適応外の自費(自由)診療です。【本治療におけるリスクと副作用】
・歯根吸収 ・歯髄壊死 ・歯肉退縮 ・後戻り
※治療効果やリスクには個人差があります。当院で使用しているマウスピース型矯正装置(エンジェルアライナー、インビザライン)は医薬品医療機器等法(薬機法)の承認を受けていない未承認医薬品です。
エンジェルアライナーは、エンジェルアライナー社の製品であり、エンジェルアライナージャパン社を介して入手しています。
インビザラインは、インビザライン社の製品であり、インビザラインジャパン社を介して入手しています。
【国内の承認医薬品等の有無】
国内にもマウスピース型矯正装置として医薬品医療機器等法 (薬機法)の承認を受けているものは複数存在します。
まとめ:2つの装置の得意・不得意
マウスピース型矯正装置とワイヤー矯正は、最終的な「歯並びのきれいさ」では近い結果が得られることもありますが、抜歯矯正において求められる歯の動き——前歯の大きな後退・根のトルクコントロール・アンカレッジ管理——には明確な差があります。
ワイヤー矯正装置が有利な点は、回転・トルクコントロール・垂直的移動・根の平行性・アンカレッジ管理です。一方、マウスピース型矯正装置の強みは清掃性・審美性・取り外しの利便性にあり、適応をしっかりと見極めることや、歯科矯正用アンカースクリューなどの補助装置を組み合わせることで抜歯症例にも対応できるケースが増えています。
研究データが示すように、マウスピース型矯正装置の移動精度は平均40〜56%程度にとどまることがあり、抜歯を伴う大きな移動においては特に補助装置の併用とオーバーコレクション設計が欠かせません。「マウスピース型矯正装置を希望しているが抜歯が必要」という方は、まず矯正歯科治療の専門の歯科医師に自分の症例がどのくらいの難易度かを確認し、治療計画の詳細を十分に相談することが最も重要です。
もし、この記事を読んで、矯正治療全体について少しでも興味を持たれたり、不安が解消されたりしたのであれば、ぜひ一度、当院の無料カウンセリングへお越しください。 皆さまが、自信に満ちた笑顔で毎日を過ごせるよう、スタッフ一同、全力でサポートさせていただきます。
皆さまのご来院を、心よりお待ちしております。
柏市の矯正歯科なら柏の葉キャンパス矯正歯科へ
参考文献
- Rossini G, et al. (2015). Efficacy of clear aligners in controlling orthodontic tooth movement: a systematic review. Angle Orthodontist, 85(5):881-9.
- Kravitz ND, et al. (2009). How well does Invisalign work? A prospective clinical study. AJODO, 135(1):27-35.
- Gonçalves A, et al. (2023). Accuracy of Invisalign on Upper Incisors: A Systematic Review. Turkish J Orthodontics, 36:126-133.
- Sachdev S, et al. (2021). Accuracy of Tooth Movement with In-House Clear Aligners. J World Federation of Orthodontists.
- Karkow K. (2020). Efficacy of Invisalign: A Retrospective Case Series of Intrusion, Extrusion, and Rotation.
- Antonarakis G, et al. (2024). Periodontal considerations during orthodontic intrusion and extrusion. Periodontology 2000.
- Muro M, et al. (2023). Effectiveness and predictability of treatment with clear orthodontic aligners: A scoping review. International Orthodontics, 21(2):100755.
- Ke Y, et al. (2019). A comparison of treatment effectiveness between clear aligner and fixed appliance therapies. BMC Oral Health, 19.
- Xia Q, et al. (2024). Clear aligner versus fixed appliance for anterior retraction: a finite element study. BMC Oral Health, 24.
- Zhu G, et al. (2023). Biomechanical effect of clear aligners in extraction space closure. AJODO.
- Liu J, et al. (2022). Biomechanical effects of clear aligners in bimaxillary space closure under two strong anchorages. Progress in Orthodontics, 23.
- Arqub S, et al. (2025). Clear Aligners in Extraction-Based Orthodontic Treatment: Systematic Review. Orthodontics & Craniofacial Research.
- Miao Z, et al. (2025). Anchorage loss in maxillary premolar and anterior teeth during molar distalization. AJODO.
- Yurdakul Z & Karslı N. (2024). Evaluating anchorage loss in upper incisors during distalization. Korean J Orthodontics, 54:117-127.
- Guo R, et al. (2024). Tooth movement analysis using clear aligners with buccal and palatal mini-screw anchorages. Orthodontics & Craniofacial Research.
- Qiang R, et al. (2024). Anchorage loss of the posterior teeth under different extraction patterns using clear aligner. BMC Oral Health, 24.
- Jin X, et al. (2024). Enhanced structure in the posterior segment of clear aligners during anterior retraction. Progress in Orthodontics, 25.




