
目次
近年、矯正歯科の世界ではインハウスアライナーという新しい選択肢が注目を集めています。従来の外注型のマウスピース型矯正装置とは異なり、歯科医院が院内で直接アライナーを製作・管理するこの方法は、患者さんにとって大きなメリットをもたらす可能性があります。
このページでは、インハウスアライナーの仕組みや外注型との違い、実際の治療の流れ、までわかりやすくお伝えします。ぜひ治療選びの参考にしてください。
私がインハウスアライナーに取り組んだきっかけ
私とインハウスアライナーとの出会いは、2022年ごろまで遡ります。
当時、歯科業界全体でデジタル化の波が加速し、口腔内スキャナーの精度向上とともに、「スキャンしたデータを院内でそのまま形にできるとしたら」という発想が頭から離れなくなっていったのです。当時はまだ歯科領域において3Dプリントという技術はマイナーであり、3Dプリンターを導入している歯科医院はほとんどありませんでした。私は、この3Dプリンターに大変興味をもちました。周りで3Dプリンターの知識がある人はほとんどいませんでしたが、友人の歯科医師と共に情報共有をしながら、3Dプリンティングの技術に魅了されていきました。
2023年、転機となる出来事がありました。AAO(アメリカ矯正歯科学会)のシカゴ大会です。私はこの年、はじめてこのAAOに参加しました。
現地で目にしたのは、私が想像していた以上の光景でした。アメリカの矯正歯科クリニックでは、3Dプリンターがすでに診療室の当たり前の設備として普及し、今回のブログのテーマであるインハウスアライナーが広く実践されていたのです。外注に頼ることなく、院内でアライナーを設計・製作し、患者さんに届けるワークフローが、すでに多くの先生方の日常になっていました。
日本ではまだほとんど知られていないこのアプローチが、アメリカではすでに臨床の現場に根付いている。その事実は、「矯正治療のあり方を根本から見直せるかもしれない」という確信に変わりました。
帰国後、私はインハウスアライナーの導入に向けて本格的に動き始めました。機器の選定、ワークフローの構築、臨床への応用——試行錯誤を重ねながらも、このアプローチの本質的な価値を、日々の診療の中で実感しています。
このブログでお伝えしていることは、教科書の知識ではなく、私自身がアメリカの現場で受けた刺激と、その後の臨床経験から得た実践的な知見です。少しでも治療選びの参考になれば幸いです。
インハウスアライナーとは?外注型との違いをわかりやすく解説
今回のテーマであるインハウスアライナー(院内製作型のマウスピース型矯正装置)と対比されるのは外注型のマウスピース型矯正装置です。
まず外注型とは、インビザラインなどに代表される方式です。歯科医院でスキャンした歯型データを海外または国内の専門ラボに送り、治療計画のやり取りをした後に、オーダーをすることで数十枚以上のアライナーを一括製作してもらいます。治療計画の立案も外部のソフトウェアに依存する部分が大きく、医師が細かく介入できる範囲に制限があるケースもあります。
一方、インハウスアライナーとは、歯科医院が院内に3Dプリンターや加圧成型機などの機器を備え、アライナーを自院で製作する方式です。デジタルスキャンで取得した歯型データをもとに、自院のソフトウェアを用いて治療計画の立案から実際のアライナー製作まで、すべてのプロセスを院内で完結させることができます。
外注型とインハウスアライナーの主な違い
| 外注型(例:インビザライン) | インハウスアライナー | |
|---|---|---|
| アライナーの製作場所 | 外部ラボ(海外含む) | 自院内 |
| 治療計画の自由度 | ソフトウェアに依存 | 医師が直接調整可能 |
| 納期・調整のスピード | 数週間〜数ヶ月 | 短期間での対応が可能 |
| コスト構造 | ラボへの外注費が発生 | 院内コストのみ |
| ブランド認知度 | 高い | まだ広まりつつある段階 |
インハウスアライナーの最大の特徴は「歯科医師が製作から提供までをコントロールできる」という点です。外注型では外部ラボや専用ソフトウェアとのやりとりが発生するため、細かな修正や再製作に時間とコストがかかることがあります。しかしインハウスアライナーでは、院内でその日のうちに作り直すことさえ可能なケースがあります。
矯正治療は、歯の動きを見ながら計画を微修正し続けるプロセスです。その意味で、スピーディーかつ柔軟に対応できるインハウスアライナーは、患者さんにとっても「治療が止まらない」安心感につながります。

インハウスアライナーが装着された状態
インハウスアライナーが注目されている理由|患者さんへの2つのメリット
インハウスアライナーが近年注目を集めている背景には、患者さんにとって明確なメリットがあるからです。ここでは特に重要な3つのポイントを解説します。
メリット① 治療の提供スピード
外注型のアライナーは、製作から納品まで一定の期間がかかります。その間、治療が一時的に止まってしまうことも少なくありません。特にアライナーが合わなかった場合や、マウスピースを追加で作製する場合は、1カ月以上患者さんをお待たせすることもあり大きなストレスとなります。
インハウスアライナーでは、院内でアライナーを製作できるため、必要なタイミングで必要な枚数だけ作ることができます。歯の動きに合わせてきめ細やかに調整できるため、提供スピードが速く、また予期せぬトラブルへの迅速な対応も可能です。
メリット② 設計の自由度が高い
外注型では、製造のルールがあるため、患者さんに合わせたカスタムなオーダーが難しいことがあります。例えば、この歯は動きにくいので少しマウスピースの長さを延ばしてみよう。個々の歯を少し強めに押したいので、この歯だけきつくしてみよう。などそういった細かな調整ができることはインハウスアライナーの強みとなります。
インハウスアライナーの仕組み|治療の流れをステップで解説
「院内で作る」といっても、実際にどのようなプロセスで治療が進むのか、イメージしにくい方も多いと思います。ここでは、インハウスアライナーによる矯正治療の一般的な流れをステップごとに解説します。
STEP 1|初診・精密検査
まず初診では、お口の状態や噛み合わせ、歯並びの問題点を確認します。インハウスアライナーが適応できる症例かどうかの判断もこの段階で行います。
精密検査では以下のデータを取得します。
- 口腔内スキャン(3Dスキャナー):シリコン印象に代わるデジタル歯型取り。短時間で精密なデータが得られます
- レントゲン撮影(パノラマ・セファロ):歯根の状態や骨格的な問題を評価します
- 口腔内・顔面写真:治療前後の比較や記録に使用します
STEP 2|治療計画の立案
取得したスキャンデータをもとに、専用の歯科用ソフトウェアを使って3D上で歯の移動シミュレーションを行います。最終的にどのような歯並びを目指すか、どの順番で歯を動かすか、アタッチメント(歯に貼り付ける小さな突起)をどこに配置するかなど、治療の全体像をこの段階で設計します。
この設計作業を担当医師自身が直接行う点がインハウスアライナーの大きな特徴です。患者さんの個別の状態に応じて、細部まで調整された治療計画を立てることができます。
STEP 3|アライナーの院内製作
治療計画が確定したら、いよいよアライナーの製作です。インハウスアライナーでは以下の機器を院内に備えています。
- 3Dプリンター:シミュレーションデータをもとに、各ステージの歯型模型を出力します
- 加圧成型機(バキュームフォーマー):出力した模型に専用のアライナーシートを圧着・成型します
- トリミング・仕上げ:成型したアライナーを歯型に合わせてカットし、装着感を整えます
この一連の作業が院内で完結するため、外注に伴う待ち時間が発生しません。必要な分だけ、必要なタイミングで製作できる柔軟性が、インハウスアライナーの強みです。
STEP 4|装着・定期調整
アライナーが完成したら装着を開始します。基本的に1〜2週間ごとに次のステージへ移行し、定期的に来院して歯の動きを確認します。
外注型では複数枚のアライナーをまとめて渡して自己管理するケースが多いですが、インハウスアライナーでは院内製作の利点を活かして、歯の動きを見ながら逐次製作・調整するアプローチも可能です。これにより、計画通りに歯が動いているかをリアルタイムで評価しながら治療を進めることができます。
STEP 5|保定(リテーナー)・治療終了
歯並びが整ったら、後戻り防止のためのリテーナー(保定装置)を使用します。リテーナーもアライナーと同様に院内で製作・調整できるため、治療終了後のフォローもスムーズに行えます。

インハウスアライナーの治療ステップ
どんな症例に向いている?適応範囲と限界
インハウスアライナーはあらゆる症例に万能というわけではありません。適切な治療を受けていただくために、適応しやすい症例とそうでない症例を正直にお伝えします。
インハウスアライナーが特に適している症例
軽度〜中等度の叢生(歯のでこぼこ)
歯のガタガタが軽度から中等度の場合、インハウスアライナーは非常に有効です。歯の移動量が比較的小さく、アライナーによるコントロールがしやすいため、予測通りの結果を得やすい症例です。
空隙歯列(すきっ歯)
歯と歯の間にすき間がある症例も、インハウスアライナーの得意とするケースです。すき間を閉じる方向への歯の移動はアライナーが力を発揮しやすく、短期間で改善が見られることも少なくありません。
軽度の前歯の前突(出っ歯傾向)
骨格的な問題が少なく、歯の傾斜改善で対応できる軽度の前突症例にも適応できます。ただし、骨格的な前突が強い場合は別途の対応が必要です。
ワイヤー矯正の最終段階での微調整
特に当院では、この手法をよく用います。ワイヤー矯正とマウスピース型矯正装置はお互いに得意とする歯の移動様式がことなります。ワイヤー矯正における最終段階の微調整では、マウスピース型矯正装置にとって得意な動きが多いと考えており、当院ではこの治療ステージにインハウスアライナーを用いて治療を行うことが多いです。
矯正治療後の後戻りの修正
一度矯正治療を受けたあと、わずかに後戻りしてしまったケースの修正にも有効です。移動量が少なく目標が明確なため、短期間・少ないステージ数での対応が可能なことが多いです。
慎重な対応が必要な症例・適応外となりやすい症例
骨格的な問題が大きい症例
上下顎骨の位置関係に大きなズレがある骨格性の不正咬合(重度の受け口・重度の出っ歯など)は、歯の移動だけでは対応が難しく、外科的矯正治療との併用が必要になる場合があります。
大きな移動量が必要な症例
歯の大きな移動量が必要な症例では、コントロールが困難なことがあります。このような症例ではワイヤー矯正との併用、またはワイヤー矯正が第一選択となる場合があります。
歯根の平行移動が多く必要な症例
歯の根を大きく動かすの動きは、マウスピース型矯正装置全般で難易度が高い動きです。
どの症例に適応するかは、精密検査のデータをもとに担当医師が総合的に判断します。
インハウスアライナーの注意点・デメリットも正直にお伝えします
メリットばかりを強調するのではなく、注意点やデメリットもきちんとお伝えすることが、正しい治療選択につながると考えています。
注意点①|医院の設備・技術力による差が大きい
インハウスアライナーの品質は、院内の設備と担当医師の技術・経験に直結します。外注型のように標準化されたプロセスを経ないぶん、医院ごとの差が出やすいという側面があります。
治療を検討する際は、医院がどのような機器を導入しているか、担当医師がどのような教育・研修を受けているかを確認することをおすすめします。
注意点②|ブランド認知度がまだ低い
「インビザライン」などの外注型ブランドと比べると、インハウスアライナーはまだ一般的な認知度が高くありません。「聞いたことがない治療で不安」と感じる方もいらっしゃるかもしれません。
しかし、使用する材料(アライナーシート)や基本的な仕組みは外注型と大きく異なるわけではありません。重要なのはブランド名よりも、治療計画の質と担当医師の臨床判断です。不安な点はどんな小さなことでも遠慮なく担当医に質問してください。
注意点③|すべての医院で受けられるわけではない
インハウスアライナーを行うには、3Dプリンターや真空成型機などの機器への投資と、それを使いこなす技術が必要です。現時点では対応できる医院が限られています。受診前に医院のウェブサイトや問い合わせで確認することをおすすめします。
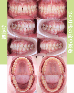
当院でのインハウスアライナーの症例報告

【治療概要】
年齢:10代 女性
主訴:前歯の隙間
動的治療期間:1.5カ月(現在も治療中中)
抜歯:なし
使用装置:マウスピース型矯正装置(院内製作)
【当院における治療費用】
精密検査料 38,500円
基本料金 385,000円
再診料 5500円×3回(継続中)
※基本料金と再診料の合計 401,500円(現在も治療継続中)
※いずれも(税込)
矯正歯科治療は、公的健康保険適応外の自費(自由)診療です。
【本治療におけるリスクと副作用】
・歯根吸収 ・歯髄壊死 ・歯肉退縮 ・後戻り
※治療効果やリスクには個人差があります。
当院で使用しているマウスピース型矯正装置(エンジェルアライナー、インビザライン、内製型マウスピース型矯正装置)は医薬品医療機器等法(薬機法)の承認を受けていない未承認医薬品です。
エンジェルアライナーは、エンジェルアライナー社の製品であり、エンジェルアライナージャパン社を介して入手しています。
インビザラインは、インビザライン社の製品であり、インビザラインジャパン社を介して入手しています。
当院で内製しているマウスピース型矯正装置(インハウスアライナー)はシート材をJMortho社を通して入手し、製造は院内製作をしております。
国内の承認医薬品等の有無
国内にもマウスピース型矯正装置として医薬品医療機器等法 (薬機法)の承認を受けているものは複数存在します




