
目次
先日、日本舌側矯正歯科学会が主催する2日間の研修に参加してまいりました。舌側矯正治療に関する技術や知識をアップデートする大変充実した時間となりました。こうした研鑽を日々積み重ねながら、患者さんにより質の高い治療を提供できるよう努めてまいります。

JLOAタイポドントコース修了証授与式にて(伝法理事長、土川実行委員長と)
さて今回は、舌側(裏側)矯正治療について、詳しくご紹介したいと思います。「矯正治療に興味はあるけれど、装置が目立つのが気になって一歩踏み出せない」という方にこそ、ぜひ最後まで読んでいただけると嬉しいです。
1. 「矯正してるって、バレたくない」——そんな方に知ってほしい舌側矯正治療
矯正治療を検討するとき、多くの方が最初に感じる不安のひとつが「装置が目立つのではないか」ということではないでしょうか。
仕事の場面で取引先やお客様と対面する機会が多い方、接客業や営業職など人前に立つことが多い方、あるいは結婚式や大切なイベントを控えている方——そういった方々にとって、ブラケットが歯の表面に並ぶ見た目は、矯正治療をためらう大きな理由になることがあります。
舌側矯正治療(リンガルブラケット矯正)とは、歯の裏側(舌側)にブラケットとワイヤーを装着して歯並びを整える矯正治療の方法です。
装置がすべて歯の裏側に隠れているため、正面から見ても矯正していることがほとんどわかりません。会話をしているとき、笑顔を見せるとき、写真を撮るとき——日常のあらゆる場面で、装置を気にせず過ごすことができます。
「矯正したいけど、目立つのは困る」「できれば周りに知られずに治療したい」——そうお考えの方にとって、舌側矯正治療は非常に有力な選択肢となります。
「矯正治療=目立つもの」というイメージをお持ちの方に、ぜひ知っていただきたい治療法——それが舌側矯正治療です。
2. 表側矯正・マウスピース矯正との違い
矯正治療にはいくつかの種類があり、それぞれに特徴があります。ここでは代表的な3つの方法を比較しながら、舌側矯正治療の立ち位置をわかりやすく整理してみます。
① 表側矯正(唇側矯正)との比較
表側矯正は、歯の表面にブラケットとワイヤーを装着する、最も歴史のある矯正治療法です。多くの歯科医院で対応しており、対応できる症例の幅が広く、治療費も比較的抑えられる傾向があります。
一方で、装置が正面から見えるという点が最大のデメリットです。舌側矯正治療との最大の違いは、やはり「見た目」の部分です。治療効果の面では、多くの症例において同等の結果が得られますが、より複雑な手技となるのが舌側矯正治療です。
| 比較項目 | 表側矯正 | 舌側矯正 |
|---|---|---|
| 見た目 | 目立つ | 目立たない |
| 対応症例 | 幅広い | 幅広い |
| 費用 | 比較的安い傾向 | やや高め |
| 口内炎リスク | 頬・唇側に起きやすい | 舌側に起きやすい |
② マウスピース型矯正装置との比較
マウスピース型矯正装置は、透明な取り外し可能なマウスピースを順番に交換しながら歯を動かしていく矯正治療法です。
確かに目立ちにくいですが、歯の表面にアタッチメントという突起をつけて歯を動かす補助とすることと、マウスピースをはめているので全く見えないというわけではありません。
取り外しができるという点は大きなメリットで、食事や歯磨きの際に外せるため、口腔内を清潔に保ちやすく、食事制限もほとんどありません。
ただし、1日20〜22時間以上の装着が必要であり、自己管理が求められます。装着時間が守れないと治療計画通りに歯が動かず、治療期間が延びることがあります。また、症状によっては対応が難しい場合もあります。
舌側矯正治療は固定式の装置であるため、患者さん自身が管理する必要がなく、つけ忘れの心配がありません。また、ワイヤーで歯をコントロールするため、複雑な歯の動きにも対応しやすいというメリットがあります。
| 比較項目 | マウスピース矯正 | 舌側矯正 |
|---|---|---|
| 見た目 | 目立ちにくい(アタッチメントがつく) | ほぼ目立たない |
| 取り外し | できる | できない |
| 自己管理 | 必要(20時間以上の装着) | 不要 |
| 食事制限 | なし | 一部あり |
| 複雑な症例対応 | 苦手なケースあり | 対応しやすい |
3. 舌側矯正治療はどんな方に向いている?
舌側矯正治療は、さまざまな歯並びの問題に対応できる治療法ですが、以下に当てはまる方は、ぜひ選択肢のひとつとして考えてみてください。
職業柄・生活環境上、目立つ装置をつけにくい方
接客業・営業職・教育関係・芸能関係など、人前に出る機会が多い職業の方、周囲の友人や同僚に矯正治療をしていることがばれたくないという人にとっても、舌側矯正治療であれば、普段の印象を変えることなく治療を続けることができます。
目立ちにくい方法がいいけど、マウスピース型矯正装置では難しいと言われた方
マウスピース型矯正装置は治療の適応範囲が限られます。舌側矯正治療は適応範囲が広くほとんどの歯並びに対応できます。
目立ちにくい方法がいいけど、マウスピース型矯正装置を1日22時間装着できる自信がない方
舌側矯正治療は固定式装置のため着脱の必要性はありません。
一方で、こんな方はご相談が必要です
舌側矯正治療はほとんどの歯並びに対応できますが、以下のような場合は治療方針について詳しくご相談が必要です。
- 骨格的なズレが大きい方(外科的矯正が必要なケースがある)
- 咬み合わせが極端に深い方(装置を前歯の裏側につける特性上、特別な配慮が必要な場合がある)
4. 治療中の生活はどうなる?食事・発音・痛みのリアルな話
舌側矯正治療を検討される方からよくいただくのが、「治療中の生活はどう変わるの?」というご質問です。装置が歯の裏側につくという特性上、気になることも多いかと思います。ここでは、実際の治療中の生活について、良い面も気になる面も含めて正直にお伝えします。
食事について
舌側矯正治療中は、いくつかの食べ物に注意が必要です。装置はしっかりと歯に接着していますが、硬いものや粘着性の高い食べ物は装置が外れたり変形したりする原因になることがあります。
避けていただきたい食べ物の例としては、せんべいやフランスパンなど硬いもの、キャラメルやグミなど粘着性の高いもの、するめや肉の塊など繊維質で噛み切りにくいものなどが挙げられます。
一方で、「食事が全くできない」ということはありません。やわらかく調理されたもの、煮物、麺類、魚料理など、日常的な食事のほとんどは問題なく召し上がれます。食事の楽しみが大きく損なわれるというよりは、「食べ方・食べるものをちょっと工夫する」というイメージです。
また、食後の歯磨きはより丁寧に行う必要があります。装置の周りに食べかすや汚れがたまりやすいため、ブラッシングに少し時間をかける習慣をつけていただくことが大切です。担当のスタッフが適切なブラッシング方法を丁寧にお伝えしますので、ご安心ください。
虫歯リスクについて
舌側矯正は歯の裏側に装置がつくため歯ブラシの難易度が高くなります。一方で舌側は唾液が循環しやすく、唾液の自浄作用が発揮されやすいという報告もありますので、一概に虫歯リスクが高いとは言えません。当院では矯正治療中の虫歯予防の取り組みとしてフッ化物の局所応用を重要視しております。フッ化物に関してはこちらの記事で詳しく解説していますので、是非ご覧ください。
発音について
舌側矯正治療で患者さんが最も気になるポイントのひとつが「発音への影響」です。装置が歯の裏側(舌が触れる側)につくため、治療開始直後は舌の動きが制限され、発音がしにくいと感じることがあります。
特に「さ行」「た行」「ら行」などの音は、舌が歯の裏側に触れることで発音するため、装着直後は違和感を覚えやすいです。「しゃべりにくい」「舌足らずに聞こえる」と感じる方もいらっしゃいます。
ただし、これはほとんどの方が数日〜2週間程度で慣れていきます。人間の舌は非常に適応能力が高く、装置の存在に徐々に慣れて自然な発音ができるようになります。「接客の仕事があるから心配」という方も、最初の1〜2週間さえ乗り越えれば、多くの場合は気にならなくなります。
早く慣れるためには、積極的に声を出す練習をすることが効果的です。本を声に出して読む、歌を歌うなど、日常の中で意識的に発声する機会を作ることをおすすめしています。
痛みについて
矯正治療全般に言えることですが、装置を装着した直後やワイヤーを調整した後、数日間は歯が動くことによる鈍い痛みや違和感が生じることがあります。「歯が浮くような感じ」「咬むと痛い」という表現をされる方が多いです。
この痛みは通常、2〜4日程度でおさまることがほとんどです。痛みが強い場合は、市販の鎮痛剤を服用していただくことも可能です。
また、舌側矯正特有の点として、装置が舌に触れることで舌に口内炎ができることがあります。特に治療開始直後は舌が装置に慣れていないため、こすれて傷になることがあります。当院では装置の角を丸く仕上げるなど、できる限り舌への刺激を少なくする工夫をしておりますが、慣れるまでの間は保護用ワックスをお渡ししますので、痛みを感じる部分に貼って対処していただけます。
治療中の生活における不便さは確かにゼロではありませんが、慣れてしまえばほとんどの方が「思ったより大丈夫だった」とおっしゃいます。 治療中の不安やお困りのことがあれば、いつでもお気軽にご相談ください。
5. 初診から治療完了まで——舌側矯正の治療ステップ
「実際に治療を始めたら、どんな流れで進んでいくの?」という疑問をお持ちの方も多いと思います。ここでは、当院における舌側矯正治療の一般的な流れをご説明します。
STEP 1|初診相談
まずはお気軽に初診相談にお越しください。現在の歯並びのお悩みや治療に対するご希望をじっくりお聞きします。舌側矯正治療の概要や費用についてもこの段階でご説明しますので、「まだ迷っている」「話を聞くだけでもいいか」という段階でも大歓迎です。
初診相談は完全予約制で行っております。ご予約はこちらから。
STEP 2|精密検査
治療を進めることをご検討いただいた場合、次のステップとして精密検査を行います。レントゲン撮影、口腔内写真撮影、歯型の採取などを行い、現在の歯並びや骨格の状態を詳しく分析します。この検査結果をもとに、治療計画を立案します。
STEP 3|装置の作製・装着
治療計画にご同意いただいたら、いよいよ装置の作製に入ります。舌側矯正の装置は、患者さんの歯の形に合わせてオーダーメイドで作製されます。歯型のデータをもとに、技工所で精密に製作されるため、通常1.5カ月程度のお時間をいただきます。
装着当日は違和感を感じることがありますが、前述の通り徐々に慣れていきます。
STEP 4|定期調整
装置装着後は、約1カ月に1回のペースで来院していただき、ワイヤーの交換や調整を行います。この定期的な調整によって、歯が少しずつ計画通りの位置へと動いていきます。
毎回の調整時間は約1時間程度です。調整のたびに歯の動きを確認し、治療が計画通りに進んでいるかをチェックします。舌側矯正治療は高い技術を要するため、比較的混雑の少ない平日の受診をおすすめしております。
STEP 5|装置の撤去・保定へ
歯並びが整い、治療目標を達成したら装置を撤去します。装置を外した後の歯はとてもきれいで、患者さんの喜ぶ笑顔を拝見するのは、私たちスタッフにとっても大きなやりがいの瞬間です。
ただし、矯正治療は装置を外して終わりではありません。歯は元の位置に戻ろうとする「後戻り」が起きやすいため、保定装置(リテーナー)を装着して歯並びを安定させる「保定期間」が必要です。保定期間は通常2年程度で、最初は1日中装着し、徐々に装着時間を短くしていきます。
保定期間中も定期的にご来院いただき、後戻りがないかを確認します。美しい歯並びを長く維持するために、保定はとても大切なステップです。
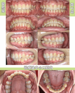
【症例報告】
- 患者情報 :千葉県柏市在住 20代女性
- 主訴:口ゴボを改善したい
- 治療方針:上の左右の4番目の歯(第一小臼歯)と、下の左右の5番目の歯(第二小臼歯)を抜歯
- 使用装置・補助装置:マルチブラケット装置(舌側矯正装置)と顎間ゴム
- 治療期間:動的治療期間:2年3ヵ月

本症例のポイント:
こちらの症例はE-lineの改善を目立ちにくい裏側矯正により行いました。口元を下げるために上下で4本の小臼歯の抜歯を行いました。口元を下げすぎないように細かく調整を行いながら改善を行っております。
【当院における治療費用】
精密検査料 49,500円
基本料金 1,210,000円
再診料 5,500円×27回
※基本料金と再診料の合計 1,358,500円
※いずれも(税込)
矯正歯科治療は、公的健康保険適応外の自費(自由)診療です。
【本治療におけるリスクと副作用】
・歯根吸収 ・歯髄壊死 ・歯肉退縮 ・後戻り
※治療効果やリスクには個人差があります。
患者さんからよく聞かれる質問にお答えします【Q&A】
舌側矯正治療についてよくいただくご質問をまとめました。
Q1. 舌側矯正治療の費用はどのくらいかかりますか?
A. 矯正歯科治療は公的健康保険の対象外の自由(自費)診療となりますので、ご留意ください。舌側矯正治療は、表側矯正やマウスピース矯正と比較すると費用が高くなる傾向があります。これは、装置が患者さんの歯型に合わせてオーダーメイドで作製されること、また装置を歯の裏側に装着するために高度な技術が必要であることが主な理由です。費用はこちらの料金表をご参照ください。
Q2. 治療期間はどのくらいかかりますか?
A. 歯並びの状態によって異なりますが、一般的には1年半〜3年程度が目安です。
治療期間はあくまで目安であり、口腔内の状態や歯の動きの速さ、来院頻度などによって変わります。
Q3. 舌側矯正治療は痛いですか?
A. 矯正治療全般に言えることですが、装置装着直後やワイヤー調整後の数日間は、歯が動く際の鈍い痛みや違和感が生じることがあります。「歯が浮く感じ」「咬むと少し痛い」という表現をされる方が多いです。ただし、この痛みは通常2〜4日程度でおさまります。
また、舌側矯正特有の点として、治療開始直後は装置が舌に触れて口内炎ができることがあります。慣れるまでの間は保護用ワックスをご利用いただけますので、ご安心ください。「痛みに弱くて心配」という方も、多くの場合は思っていたよりも慣れるのが早かったとおっしゃいます。
Q4. 治療中、装置が外れることはありますか?
A. 硬いものを食べたときや強い衝撃が加わったときに、ブラケットが歯から外れることがあります。装置が外れた場合は、慌てずに当院にご連絡ください。
Q5. 矯正中でもスポーツや楽器演奏はできますか?
A. スポーツについては、基本的に問題なく続けることができます。ただし、コンタクトスポーツ(柔道・ラグビー・ボクシングなど)では口元への衝撃が加わる可能性があるため、マウスガードの使用をおすすめする場合があります。舌側矯正は装置が歯の裏側にあるため、表側矯正と比べて口元への直接的なダメージは受けにくいというメリットもあります。
楽器演奏については、管楽器を演奏される方は、治療開始当初は口元の感覚が変わり影響を感じることがあります。ただし、舌側矯正は唇の裏側に装置が当たらないため、表側矯正と比べて管楽器への影響は少ない傾向があります。演奏を続けながら慣れていかれる方がほとんどですが、ご心配な方は事前にご相談ください。




