
目次
はじめに:患者様から多い質問「ワイヤー矯正の方が治療期間は短いですか?」の真実
初診相談にいらっしゃる患者様から、非常によくいただく質問があります。
「マウスピース矯正は時間がかかると聞きました。ワイヤー矯正の方が早く終わりますか?」
「早く治したいので、ワイヤー矯正にしたいです」
インターネット上の口コミや、ご友人の経験談などから、「ワイヤー矯正=強力で早い」「マウスピース矯正=手軽だけど治るのが遅い・治らない」というイメージを持たれている方が最近は増えてきたように思います。
結論から申し上げますと、「ワイヤーの方が早い」というのは、必ずしも正解ではありません。かといって「マウスピース型矯正装置の方が早い」とも言い切れません。
歯並びの状態(症例)によっては、ワイヤーの方が有利な場合もありますし、逆にマウスピース矯正の特性を活かすことで、ワイヤーよりも無駄なく短期間でゴールにたどり着ける場合もあるのです。
今回は、矯正歯科を専門とする歯科医師の視点から、治療期間が決まる「本当の仕組み」と、なぜネット上の噂と現実が異なるのか、その裏側にある理由や治療プロセスについて、詳しく解説していきたいと思います。
そもそも、なぜ矯正治療には平均2年以上の期間が必要なのか?
「もっと早く、半年くらいで終わりませんか?」
そう思われるお気持ちはよく分かります。しかし、矯正治療が一般的に2年から2年半程度の期間を要するのには、単に歯を動かす距離の問題だけではなく、人体の「生物学的な限界速度」が関係しています。
矯正治療は、体の代謝機能を利用して、歯を動かしていく治療です。
歯が動く仕組み:骨の吸収と添加
歯は「歯槽骨(しそうこつ)」という骨の中に埋まっています。硬い骨の中にある歯がなぜ動くのかというと、そこには「破骨細胞(はこつさいぼう)」と「骨芽細胞(こつがさいぼう)」という2つの細胞の働きがあるからです。
-
装置によって歯に力が加わると、進みたい方向にある「歯根膜(歯の根を覆う膜)」が圧迫されます。
-
圧迫された側の骨には「破骨細胞」が集まり、骨を溶かし始めます(骨吸収)。これにより歯が進むスペースができます。
-
反対に、引っ張られた側の歯根膜は伸びようとします。するとそこには「骨芽細胞」が集まり、新しい骨を作ります(骨添加)。
この「動く側の骨が溶け、反対側に新しい骨ができる」というサイクル(骨のリモデリング)を繰り返すことで、歯は骨の中をゆっくりと移動していきます。

生理的な移動速度の限界
この細胞の働きによる骨の作り変えには、一定の時間がかかります。一般的に、健康な歯が1ヶ月に移動できる距離は、最大でも0.5mm〜1.0mm程度と言われています。
「強い力をかければもっと早く動くのでは?」と思われるかもしれませんが、これは非常に危険な誤解です。生理的な限界を超えた過度な力をかけると、歯根膜がダメージを受けて逆に歯の動きが遅くなったり(硝子様変性)、歯の根っこ自体が短くなってしまったり(歯根吸収)するリスクが高まります。
つまり、ワイヤーであれマウスピースであれ、「安全に歯を動かせるスピードの限界値」は同じなのです。矯正治療に2年程度の時間がかかるのは、身体の仕組みを無視して無理やり動かすのではなく、生体反応に合わせて丁寧に治療を進めるために必要な期間だと言えます。
矯正治療の一般的な進行について(3つのステージ)
なお、大前提として日本人は人種的に矯正治療を行う際に「抜歯が必要となってしまう」可能性が高い人種です。なぜ矯正治療のために抜歯が必要となることがあるのか?についてはこちらのブログで詳しく解説をしています。抜歯を伴う矯正治療の平均治療期間は約2年~2年半とされています。(非抜歯で治療ができる場合は治療期間が短くなる傾向があります)
では、2年という期間の中で、具体的にどのようなステップを踏んで治療が進んでいくのでしょうか。一般的に、矯正治療は大きく分けて3つのステージ(段階)で進行します。
第1ステージ:レベリング(Leveling)
治療の初期段階です。まずはガタガタしている歯並びをほどき、歯の高さや向きを揃えて、真っ直ぐなアーチ状に整列させます。 ワイヤー矯正の場合、最初は細く柔らかい形状記憶合金のワイヤーを使用し、徐々に太いワイヤーへと交換しながら、個々の歯のねじれや傾きを修正していきます。この段階で、見た目のガタガタはかなり改善されますが、抜歯をしたスペースなどはまだ空いたままの状態です。
第2ステージ:リトラクション(Retraction)
歯並びが整った後、抜歯スペースなどを利用して前歯を後ろに下げたり、犬歯を移動させたりする段階です。 歯を抜いたスペースを閉じるためのメインの工程と言えます。この段階では、硬くて太いステンレススチールなどのワイヤーを使用し、歯を平行移動させるためのダイナミックな動きを行います。治療期間の中で最も時間を要することが多いステージです。
第3ステージ:ディテーリング(Detailing)
治療の最終仕上げの段階です。大まかな歯並びと噛み合わせは整っていますが、上下の歯が緊密に噛み合うように、微調整を行います。 この工程をおろそかにすると、見た目は綺麗でも「噛みにくい」「後戻りしやすい」といった問題が生じます。一本一本の歯の角度や接触点をミリ単位で調整する、まさに矯正歯科を専門とする歯科医師のこだわりが詰まった重要な期間です。
従来のワイヤー矯正では、基本的にはこの「レベリング」→「リトラクション」→「ディテーリング」という工程を、順序立てて一つずつクリアしていく必要があります。

本当にワイヤーの方が治療が早いのか?
ここで冒頭の疑問に戻ります。「ワイヤーの方が早い」と言われる最大の理由は、ワイヤー矯正の歴史が長く、あらゆる症例に対応できる汎用性の高さと、確実な実績があるからかもしれません。
特に、以下のようなケースでは、現在でもワイヤー矯正の方が有利(早い・確実)な場合があります。
-
抜歯をして大きく歯を動かす必要がある症例
-
歯の根っこ(歯根)の移動が多い症例
-
著しい歯のねじれ(捻転)を治す場合
ワイヤー矯正は、歯に接着したブラケットとワイヤーを利用して、歯を物理的にコントロールすることに長けています。特に、歯根を含めた平行移動に関しては、ワイヤーの剛性が大きな力を発揮します。そのため、「どんな症例でもワイヤーなら間違いない」という考え方は、ある意味では真実です。
しかし、「ワイヤーだから常に早い」わけではありません。ワイヤー矯正では原則として、前述の3つのステップを順番に行っていきますので「工程の順番待ち」が発生しやすいといえます。
アライナーは「レベリング・リトラクション」が同時に可能
一方で、近年急速に進化しているアライナー矯正(マウスピース型矯正装置)には、ワイヤー矯正とは大きく異なる点があります。
それは、「ステージの同時進行が可能である」という点です。
アライナー矯正は、治療開始前にデジタルシミュレーションを行い、ゴールまでの歯の動きをすべて計算します。そのため、 「前歯のガタガタを整えながら(レベリング)、同時に奥歯を後ろへ送る(リトラクションの準備)」 といった、複合的な動きを一つの流れの中にプログラムすることが可能です。
ワイヤー矯正では「まずレベリングをやってからリトラクション」と段階を踏まなければならない工程を、アライナーでは「レベリングとリトラクションを同時進行」で進められるケースがあります。
これが適応する症例(型にはまる症例)であれば、ワイヤー矯正よりも無駄な動きや工程の順番待ちを減らし、結果として治療期間を大幅に短縮できる可能性もあるのです。
特に、
-
すきっ歯を閉じる治療
-
歯根の大きな移動を伴わない軽度〜中等度の叢生(ガタガタ)
こうした症例においては、アライナー矯正の方が効率的に力がかかり、ワイヤーよりも早く仕上がる事例は珍しくありません。
適応の見極めこそが、矯正歯科を専門とする歯科医師の実力
ここまでお読みいただいてお分かりいただけたかと思いますが、「ワイヤーが早い」か「アライナーが早い」かは、「患者様の歯並びが、どちらの装置の得意分野に当てはまるか」によって決まります。
マウスピース型矯正装置は魔法の道具ではありません。デジタルシミュレーション上ではどんな動きでも作れますが、実際の人間の口の中でその通りに動くかどうかは別問題です。マウスピース型矯正装置では苦手な動きを無理やり行う計画を立てれば、シミュレーション通りに歯が動かず、追加のアライナーが何回も必要になったり、リカバリーのために結局ワイヤーをつけたりすることになり、かえって治療期間が延びてしまいます。
逆に、ワイヤー矯正でじっくり時間をかけて治すべき症例を、スピード重視で無理に進めれば、歯肉退縮や歯根吸収などのリスクを招きます。
つまり、最も重要なのは「どの装置を使うか」ではありません。 「この患者様の歯並びには、どの装置(または装置の組み合わせ)を使えば、最も効率的かつ安全にゴールへ辿り着けるか」 この適応を見極める診断力こそが、矯正歯科を専門とする歯科医師の腕の見せ所であり、実力なのです。
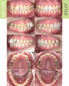
実際のマウスピース型矯正治療の症例を供覧して
論より証拠として、実際に治療を行った症例をご紹介しましょう。 尚、当院は2025年10月に開業し、まだ当院で治療完了をしている患者様はおられません。こちらの症例は患者様と勤務先の病院よりご許可をいただき、前勤務先の症例を掲載しております。
【症例】マウスピース型矯正装置により治療したケース
-
当院のInstagramでも解説しています
- 主訴:歯のがたつき
- 年齢:30代女性
- 動的治療期間:2年3カ月
- 抜歯部位:上顎左右4番、下顎左5番
- 診断:偏位を伴う叢生症例
- 使用装置:マウスピース型矯正装置
- 治療の方針:がたつきの程度や、口元の印象、仕上がりの緊密さ、左右のずれの補償を考慮して抜歯部位を決定しました。
【当院における治療費用】
精密検査料 49500円
基本料金 990,000円
再診料 5500円×7回
※基本料金と再診料の合計 1,028,500円
※いずれも(税込)【本治療におけるリスクと副作用】
・歯根吸収 ・歯髄壊死 ・歯肉退縮 ・後戻り
※治療効果やリスクには個人差があります。
※矯正歯科治療は公的健康保険の対象外の自由(自費)診療となりますので、ご留意ください。
【考察】 ご覧の通り、マウスピース型矯正装置を使用し、治療を行いましたが。治療期間は2年3ヶ月と、ワイヤー矯正治療で行ったっ場合と比較して治療期間に差はありません。 仕上がりに関してもまったく遜色がなく治療が完了しております。患者様からの満足度も大変高いものでした。「マウスピース型矯正装置は抜歯症例が苦手で時間がかかる」と言われることもありますが、適切な診断と設計を行えば、このようにワイヤーと同等の期間で、同等のクオリティに仕上げることが十分に可能です。
最後に:装置選びに迷ったら
「早く終わりたい」 それは全ての患者様に共通する願いです。しかし、スピードだけを追い求めて、仕上がりの質や歯の健康を犠牲にしては本末転倒です。
私は早く終わりたいという希望が強い患者さんに必ずお伝えしていることがあります。
「矯正治療は人生で1回です。矯正治療で確かに短い期間で終わることは望ましいことですが、多少の期間の違いは長い人生の中ではわずかな誤差だと思います。是非治療の期間だけにとらわれず、一番いい治療結果が出る方法を選んでください」
私たち矯正歯科を専門とする歯科医師は、単に歯を並べることではなく、患者様の要望を含めて総合的に診断し、一番良い結果が出せる治療提案をすることが重要だと思っています。
「私はワイヤーじゃないとダメですか?」 「マウスピースで早く治る可能性はありますか?」
どうぞ、遠慮なくご相談ください。 ネットの情報だけに頼らず、あなたの歯並びとお口の状態を実際に拝見した上で、 「あなたの場合は、ワイヤーの方が確実で早いです」 「あなたの場合は、マウスピースの特性がハマるので、意外と早く終わるかもしれません」 といった、プロフェッショナルとしての正直な見解をお伝えいたします。
装置はあくまで「ツール(道具)」です。その道具を使いこなし、患者様を理想の笑顔へと導く「ナビゲーター」として、私たちが全力を尽くします。
皆様のご来院を心よりお待ちしております。
柏の葉キャンパス矯正歯科
院長 小松 昌平
〒277-0871 千葉県柏市若柴227番地6 柏の葉キャンパス147街区 パークシティ柏の葉キャンパス二番街コモンAコミュニティカフェ
電話:04-7192-7894






